
2024.09.02 - [건강상식] - 발목발목 인대파열 치료기간과 증상, 원인
발목발목 인대파열 치료기간과 증상, 원인
발목 인대파열은 일상에서 자주 발생할 수 있는 부상으로, 특히 운동 중에 많이 발생합니다.오늘은 발목 인대파열의 치료 기간, 증상, 원인에 대해 자세히 알아보겠습니다.발목 인대파열의 원인
godqhrhealth.com
발목인대 파열 수술 꼭 해야 할까?
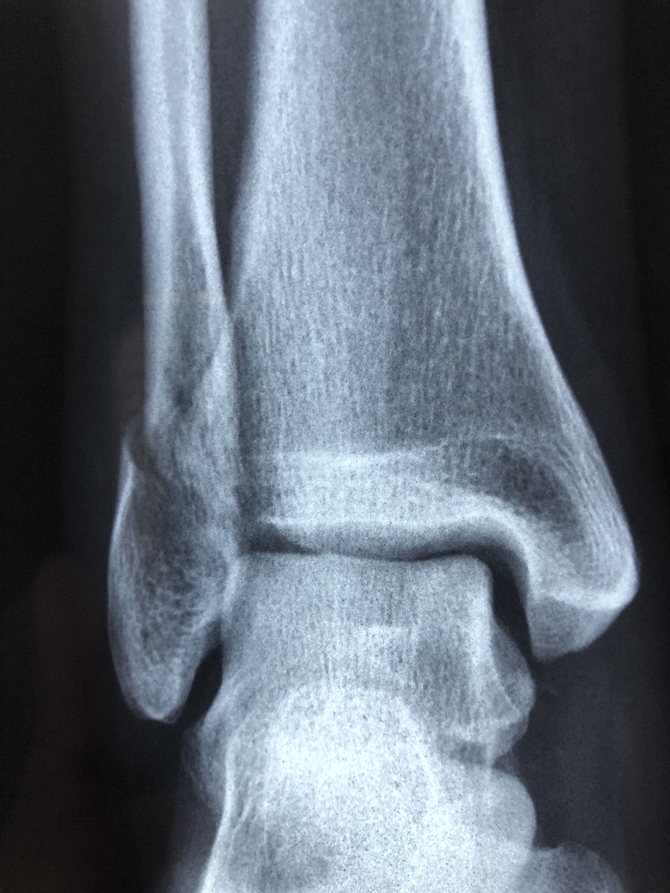
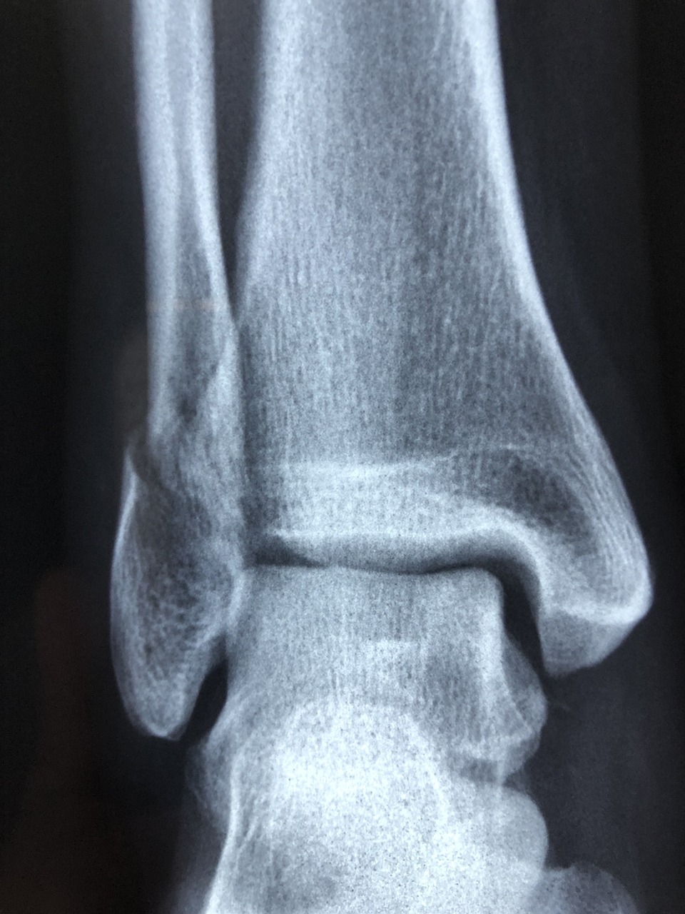
안녕하세요! 오늘은 발목인대 파열에 대해 알아보겠습니다. 특히, 발목인대의 종류와 파열 증상, 그리고 수술이 필요한 경우에 대해 자세히 설명드리겠습니다. 발목은 우리 몸에서 매우 중요한 역할을 하는 부위로, 일상생활에서 자주 사용되기 때문에 부상이 발생할 경우 적절한 대처가 필요합니다.

1. 발목인대의 종류
발목에는 여러 가지 인대가 존재하며, 이들은 각각 다른 기능을 가지고 있습니다. 주요 인대로는 다음과 같은 것들이 있습니다.
- 내측 인대 (Deltoid ligament): 발목 안쪽에 위치하며, 외부 충격으로부터 보호하는 역할을 합니다.
- 외측 인대 (Lateral ligaments): 외측에는 세 개의 주요 인대가 있으며, 각각 전거비 인대(Anterior talofibular ligament), 후거비 인대(Posterior talofibular ligament), 종아리 인대(Calcaneofibular ligament)로 나뉩니다. 이들은 주로 외측 안정성을 제공합니다.
보통 발목인대 중 전거비 인대, 후거비 인대가 파열되는 경우가 많습니다.

2. 발목인대 파열 증상
발목인대를 다쳤을 때 나타나는 증상은 다양합니다. 일반적으로 다음과 같은 증상이 나타납니다.
- 통증 : 부상의 즉시 통증이 발생하며, 특히 움직일 때 더 심해질 수 있습니다.
- 부기 : 부상 부위가 붓고 염증이 생길 수 있습니다.
- 멍 : 피부 아래 출혈로 인해 멍이 들기도 합니다.
- 움직임 제한 : 통증과 부기로 인해 정상적인 움직임이 어려워질 수 있습니다.
특히 완전한 파열(3도 염좌)의 경우에는 위와 같은 증상이 더욱 심하게 나타나며, 걷거나 서는 것이 불가능할 정도로 고통스러울 수 있습니다.
증상 정도에 따라 다르지만, 파열된 경우 반깁스, 통깁스 착용을 통해 발목의 안정성을 유지합니다.

3. 발목인대 파열 수술이 필요한 경우
그렇다면 모든 발목인대 파열 환자가 반드시 수술을 받아야 할까요? 그렇지 않습니다. 일반적으로 경미한 염좌나 부분적인 손상의 경우 비수술적 치료로 회복될 가능성이 높습니다. 하지만 다음과 같은 상황에서는 수술적 치료가 필요할 수 있습니다.
- 완전파열 : 만약 인대한테 완전히 끊어졌다면, 재건이나 봉합 등의 방법으로 치료해야 할 필요성이 큽니다.
- 반복적인 불안정성 : 이전에 여러 번 염좌를 경험했거나 불안정성이 지속된다면, 이를 해결하기 위해 수술적 접근이 필요할 수도 있습니다.
발목 치료가 끝난 후에도 발을 딛고 서기 힘들거나 재활이 어려운 경우 수술을 고려해 볼 수 있습니다.

수술 후에는 재활치료를 통해 정상적인 기능을 회복하는 것이 중요합니다. 초기에는 안정화와 통증 관리가 우선이며, 이후 점진적으로 운동 범위를 늘려가는 방식으로 진행됩니다.
결론적으로 말하자면, 발목인대를 다쳤다고 해서 무조건적으로 수술해야 하는 것은 아닙니다. 각 개인의 상태와 손상의 정도에 따라 적절한 치료 방법을 선택하는 것이 중요합니다. 따라서 전문가와 상담하여 최선의 결정을 내리는 것이 좋습니다.
여러분도 혹시 발목에 문제가 생겼다면 주저하지 말고 전문의를 찾아 상담하시길 바랍니다!
'건강상식' 카테고리의 다른 글
| 코로나 변이 바이러스 종류 뭐가 있을까? (0) | 2024.09.10 |
|---|---|
| 대장암 초기증상 혈변 외에 어떤 증상이? (0) | 2024.09.05 |
| 감기 증상 및 코로나와의 차이점은? (0) | 2024.09.05 |
| 면역력 저하 증상과 극복 방법! (0) | 2024.09.05 |
| 발목발목 인대파열 치료기간과 증상, 원인 (0) | 2024.09.02 |